Dụng cụ lấy cao răng siêu âm tại nhà nên chọn là loại nào để đảm bảo an toàn khi thực hiện? Rất nhiều người bận rộn không thể đến các phòng khám nha để lấy cao răng, nên việc thực hiện tại nhà là cách tối ưu với họ. Tuy nhiên, việc chọn dụng cụ cần phải nghiên cứu kỹ để đảm bảo hỗ trợ quá trình lấy cao răng diễn ra thuận lợi.
Lưu trữ tác giả: thangdt
Cao răng nhiều, bám dày trên răng gây ảnh hưởng tiêu cực tới sức khỏe răng miệng, có thể dẫn tới viêm nha chu, tụt lợi. Tham khảo ngay bài viết để biết nguyên nhân, tác hại và cách xử lý cao răng nhiều hiệu quả!
Chọn đúng địa chỉ lấy cao răng tốt, chất lượng sẽ giúp khách hàng tránh được tình trạng ê buốt, đau nhức khi lấy cao răng. Với 7 địa chỉ được gợi ý dưới đây, hy vọng bạn sẽ tìm được cơ sở nha khoa phù hợp với bản thân!
Lấy cao răng tốt thì ai cũng công nhận. Song lấy cao răng tốt như thế nào hay lấy cao răng có tác dụng gì thì không phải ai cũng thực sự hiểu rõ. Hãy cùng Nha khoa OZE tìm hiểu những lợi ích khi lấy cao răng định kỳ để từ đó có ý thức hơn trong việc chăm sóc sức khỏe răng miệng nhé! .
Lấy cao răng bằng muối là phương pháp được nhiều người bận rộn yêu thích. Lý do đến từ việc phương pháp này có thể thực hiện tại nhà, tiết kiệm được nhiều thời gian đi lại. Dưới đây là một số cách tẩy cao răng với muối Nha khoa OZE tổng hợp lại và gửi bạn tham khảo!
Ít ai biết rằng cao răng được phân chia thành nhiều loại khác nhau. Trong đó có cao răng huyết thanh và cao răng nước bọt. Hai loại cao răng này khác nhau như thế nào, cách nhận biết và xử lý chúng như thế nào sẽ được giải đáp ngay sau đây!
Sau sinh, cơ thể có nhiều biến đổi. Tuy nhiên, do cần kiêng cữ nên nhiều chị em không rõ sau sinh bao lâu có thể lấy cao răng để đảm bảo an toàn cho mẹ và bé. Vấn đề này được nhiều khách hàng gửi đến Nha khoa OZE nên chúng tôi sẽ trả lời cụ thể cho mọi người như sau!
Có nên lấy cao răng tại nhà là câu hỏi mà nhiều người làm công việc văn phòng thắc mắc. Dù lấy cao răng giúp bảo vệ sức khỏe răng miệng song vì không có nhiều thời gian nên nhiều người tìm cách thực hiện tại nhà. Hãy để OZE giúp bạn giải đáp: “Lấy cao răng tại nhà có thực hiện được không?” nhé!
Trên mạng lan truyền nhiều cách lấy cao răng đen tại nhà với cam kết về hiệu quả chỉ sau từ 1 – 2 tuần chăm chỉ thực hiện. Tuy nhiên, chúng ta cần nghiên cứu thật kỹ tác dụng của các phương pháp này trước khi thực hiện, tránh thực hiện sai cách khiến phản tác dụng, gây hại cho răng của mình!
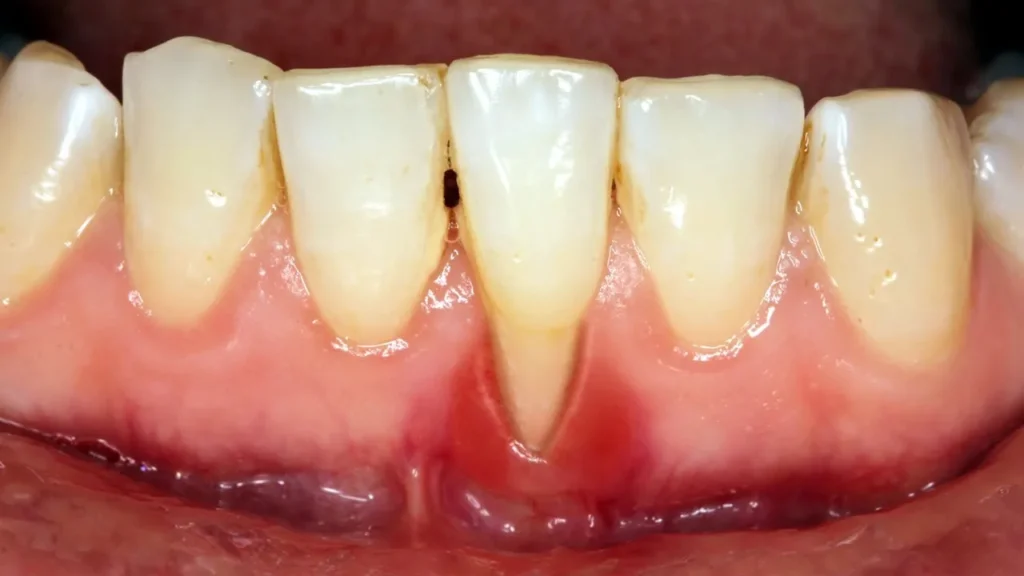
Sự tồn tại của cao răng làm tụt lợi hay không là vấn đề được rất nhiều người quan tâm. Vậy thực hư ra sao? Cùng Nha khoa OZE tìm hiểu kỹ càng dưới góc độ khoa học qua bài viết này nhé!







