Cao răng nhiều, bám dày trên răng gây ảnh hưởng tiêu cực tới sức khỏe răng miệng, có thể dẫn tới viêm nha chu, tụt lợi. Tham khảo ngay bài viết để biết nguyên nhân, tác hại và cách xử lý cao răng nhiều hiệu quả!
1. Cao răng nhiều là do đâu?
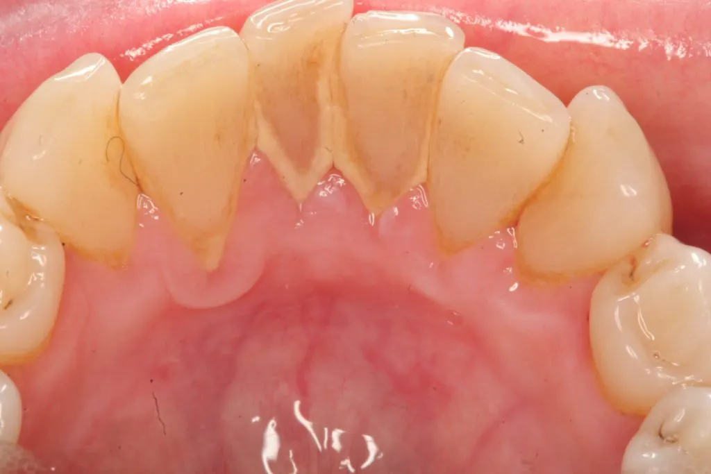
Cao răng (vôi răng) hình thành do mảng bám tích tụ bị vôi hóa bởi các hợp chất muối vô cơ. Cao răng nhiều và sẫm màu hay còn gọi là cao răng huyết thanh. Đây là tình trạng cao răng nặng, ở cấp độ 3 hoặc 4.

Cao răng dày hình thành do cao răng thông thường lâu ngày không lấy, tích tụ lại đóng thành mảng dày. Đây là loại cao răng thường gây viêm lợi vì cao răng dày xâm lấn vào lợi gây chảy máu. Máu ngấm vào cao răng tạo màu nâu đỏ nên gọi là cao răng huyết thanh.
Bởi vậy nên nếu bạn thấy có cao răng bám dày trên răng thì nên xử lý ngay. Tránh tình trạng hình thành cao răng để lâu có màu nâu đỏ, gây ra nhiều vấn đề nguy hiểm ảnh hưởng đến sức khỏe răng miệng.
2. Cao răng nhiều, bám dày có thể gây ra vấn đề gì?
Cao răng nhiều, bám dày gây mất thẩm mỹ, hôi miệng, cản trở việc vệ sinh răng miệng. Ngoài ra, cao răng nhiều còn dẫn tới các tác hại nguy hiểm hơn như:
2.1. Chảy máu chân răng
Vôi răng nhiều do cặn thức ăn và mảng bám tích tụ lâu ngày chứa nhiều vi khuẩn. Vi khuẩn có thể men theo đường thức ăn làm hỏng men răng và gây viêm lợi.

Viêm lợi khiến cho viền lợi sưng, nóng, đỏ, đau, tổ chức niêm mạc lợi lỏng lẻo, nề đỏ, chạm nhẹ cũng gây chảy máu. Máu chảy tự nhiên dù không có tác động quá mạnh, lợi yếu hơn rõ rệt.
2.2. Viêm nha chu
Nguy hiểm hơn, viêm lợi lâu ngày không được giải quyết sẽ khiến cao răng ngày càng dày đặc hơn và tồn tại dai dẳng dẫn đến viêm nha chu.
Vi khuẩn tích tụ trong thời gian dài dẫn tới viêm các tổ chức xung quanh chân răng, phá vỡ cấu trúc khúc xương ổ răng. Viêm nha chu khiến răng lung lay, lợi tụt xuống, gây nguy cơ mất răng.
2.3. Gây tụt lợi
Cao răng nhiều và bám dày lâu ngày sẽ xâm lấn lợi. Điểm bám của lợi vào cement răng bị tụt thấp làm lộ chân răng ra, gây tụt lợi và khiến răng lung lay. Tụt lợi ảnh hưởng không nhỏ đến thẩm mỹ. Đồng thời tụt lợi còn khiến răng nhạy cảm, ê buốt, gây bất tiện trong sinh hoạt hàng ngày, lâu ngày có thể làm tiêu xương ổ răng.

2.4. Tiêu xương, mất răng
Cao răng dày mà không xử lý sẽ dẫn tới tình trạng viêm nha chu nặng. Điều này không chỉ ảnh hưởng tới xương mà còn khiến các mô nha chu nâng đỡ và giữ ổn định răng trên khung hàm suy yếu, không thể giữ được răng. Hậu quả dẫn tới tiêu xương và mất răng.
3. Có thể tự lấy cao răng nhiều, bám dày tại nhà không?
Trên một số trang mạng chia sẻ rằng có thể xử lý tình trạng bị cao răng nặng, bám dày bằng nguyên liệu tự nhiên. Điều này là không đúng. Bởi lẽ nguyên liệu tự nhiên như: mật ong, chanh, dầu ô liu, trà xanh… chỉ có tác dụng đối với cao răng nhẹ.
Trường hợp cao răng quá nhiều, nặng sẽ bám chặt vào chân răng và rất khó xử lý bằng các biện pháp thông thường tại nhà. Cần tác động ngoại lực đúng cách, cao răng bám dày mới có thể bong ra mà không gây ảnh hưởng tới lợi.
Trên thị trường hiện nay có một số loại máy lấy cao răng cầm tay được rất nhiều người quan tâm. Tuy nhiên, các bác sĩ nha khoa không khuyến khích bạn tự ý sử dụng các sản phẩm này.
Việc tự lấy cao răng không đúng cách có thể gây tổn hại đến lợi, răng mà còn không sạch hết cao răng. Dụng cụ hay thiết bị không được khử trùng nghiêm ngặt, trong quá trình cạo vôi răng mà chảy máu thì rất dễ dẫn tới các nguy cơ viêm nhiễm có thể xảy ra.
4. Hướng dẫn cách xử lý cao răng nhiều hiệu quả
Cao răng nhiều cần lấy tại phòng khám nha khoa để đem lại hiệu quả tốt nhất. Việc lấy cao răng tại cơ sở nha khoa uy tín được thực hiện bởi bác sĩ có chuyên môn cao, trang thiết bị hiện đại, khử trùng khử khuẩn kỹ càng trước khi thực hiện để đảm bảo cao răng được lấy ra nhẹ nhàng, an toàn và không đau.

Đặc biệt, dịch vụ lấy cao răng tại Nha khoa OZE còn được kết hợp khám tổng thể sức khỏe răng miệng. Tư vấn chăm sóc răng miệng phù hợp, xem tình trạng răng để giúp khách hàng phòng ngừa các vấn đề khác. Sau khi lấy cao răng sạch sẽ, khách hàng còn được đánh bóng và làm sáng răng, giúp răng sạch đẹp như ý.
Nha khoa OZE là thương hiệu uy tín với hơn 10 năm trên thị trường. Dịch vụ lấy cao răng tại Nha khoa OZE được thực hiện theo quy trình nghiêm ngặt, nhằm mang lại trải nghiệm tốt nhất cho khách hàng lấy lại hàm răng khỏe mạnh. Dù cao răng nhiều vẫn được xử lý triệt để. Hãy nhấc máy và gọi cho chúng tôi theo địa chỉ:
- Hotline: 0866 866 010
