Làm đẹp răng bằng phương pháp bọc răng sứ là phương pháp thẩm mỹ hàm răng khá phổ biến hiện nay. Bọc răng sứ giúp thay đổi diện mạo cấu trúc hàm răng của bạn cũng như tăng vẻ đẹp khuôn mặt. Tuy nhiên, vẫn nhiều người băn khoăn bọc răng sứ có bị hôi miệng không. Đồng thời là những băn khoăn, lo lắng về những nhược điểm của phương pháp này. Vậy bọc răng sứ có bị hôi miệng không?
Nguyên nhân gây hôi miệng sau khi bọc răng sứ
Bọc răng sứ là phương pháp thẩm mỹ răng được ưa chuộng nhất hiện nay. Giúp đem lại hiệu quả về mặt thẩm mỹ và khả năng nhai tốt hơn. Phương pháp này được hiểu đơn giản là phục hình răng cố định.
Có rất nhiều người hài lòng sau khi bọc răng sứ, song song với đó là những ý kiến trái chiều và ch thấy mặt hại sau khi bọc răng sứ đó là tình trạng hôi miệng trầm trọng diễn ra phức tạp ở nhiều người sau khi sử dụng phương pháp thẩm mỹ răng trên. Tình trạng và vấn nạn nạn hôi miệng sau khi bọc răng sứ khiến cho nhiều người muốn có ý định bọc răng sứ trước đấy trở nên hoang mang và không tin tưởng phương pháp điều trị này.

Vậy bọc răng sứ có bị hôi miệng không? Hãy cùng tìm hiểu các nguyên nhân dưới đây để phòng tránh tình trạng hôi miệng không đáng có diễn ra:
Răng sứ bị hôi do tổn thương từ những vết rãnh hở, sần sùi, sứt mẻ

Những vết rãnh hở, bị sần sùi, nứt mẻ tạo môi trường thuận lợi cho vi khuẩn trú ẩn phát triển mạnh. Gây nên hôi miệng trầm trọng và phá tan cùi răng chính. Bệnh lý về răng lúc này diễn biến vô cùng phức tạp.
Kỹ thuật bọc răng kém
Lựa chọn địa chỉ bọc răng sứ không uy tín, dẫn đến kỹ thuật và chuyên môn bác sĩ kém. Làm sai kỹ thuật, nhịp hở sẽ khiến răng khó vệ sinh. Đây là nguyên nhân dẫn đến việc thức ăn dễ bám vào cùi răng hôi miệng.
Bệnh nhân có tiền sử hôi miệng trước khi bọc răng sứ
Bệnh nhân bị hôi miệng trước khi bọc răng sứ, sau khi bọc thì hiện tượng này vẫn còn y nguyên. Chính vì vậy, cần xử lý và khắc phục tình trạng hôi miệng trước khi bọc răng sứ.
Bên cạnh đó, các vấn đề về đường tiêu hoá gây hiện tượng trào ngược dạ dày, ợ chua cũng là một nguyên nhân. Tuy nhiên, đây là những nguyên nhân do bản chất khách hàng khi bọc răng sứ. Điều này hoàn toàn không đáng lo ngại.
Răng sứ không phù hợp với cơ địa bệnh nhân
Như chúng ta đã biết, có rất nhiều loại răng sứ. Việc lựa chọn răng sứ hoàn toàn là quyết định của khách hàng. Tuy nhiên, chúng ta cần phải biết, nếu lựa chọn không phù hợp thì cũng là nguyên nhân gây hôi miệng. Các thành phần kim loại trong răng sứ không phù hợp với cơ địa một số người sẽ gây ra các phản ứng dị ứng. Điều này trả lời cho câu hỏi bọc răng sứ có bị hôi miệng không?
Vệ sinh răng miệng không sạch sẽ
Không vệ sinh răng miệng thường xuyên hoặc không có kỹ năng hiểu biết để chăm sóc răng miệng. Gây nên tình trạng hôi miệng không đáng có.
Bên cạnh đó, quá trình ăn nhai cắn phải môi, má gây loét trong khoang miệng. Vết thương hở tạo môi trường cho vi khuẩn trong khoang miệng tấn công gây ra hôi miệng.

Thực chất hôi miệng có rất nhiều nguyên nhân chủ quan và khách quan tạo nên. Bạn gặp phải tình trạng hôi miệng sau khi bọc răng sứ là do nơi bạn chọn thẩm mỹ răng miệng kỹ thuật bọc sứ không bảo đảm tiêu chuẩn và chế độ vệ sinh răng miệng chưa đúng cách. Do đó, để tránh những nguyên nhân đáng tiếc gây ảnh hưởng đến sức khỏe răng miệng của bạn thì bạn nên lựa chọn nha khoa uy tín, lâu năm có kinh nghiệm trong lĩnh vực bọc răng sứ. Để đảm bảo an toàn hiệu quả và được tư vấn quy trình chăm sóc răng khi khi bọc răng sứ tận tâm nhất.
Khi bạn xác định tình trạng hôi miệng do bọc răng sứ gây ra, bạn nên làm theo các bước dưới đây:
- Tìm đến địa chỉ bọc răng sứ uy tín, để bác sĩ làm lại hàm răng mới
- Vệ sinh chăm sóc răng hằng ngày, cạo vôi và kiểm tra sức khỏe răng định kỳ 6 tháng/1 lần
- Sử dụng chỉ nha khoa lấy phần thức ăn bị giắt dưới phần cầu răng
Khi nào nên bọc răng sứ
Nếu bạn rơi vào 1 trong 7 những nguyên nhân dưới đây thì phương pháp bọc răng sứ là phương pháp rất được quan tâm và áp dụng:
Răng bị nhiễm màu nặng:
Có rất nhiều nguyên nhân gây ra việc răng bị nhiễm màu nặng như:
- Phụ nữ có thai sử dụng quá nhiều thuốc kháng sinh thì đứa trẻ sinh ra răng rất dễ bị nhiễm màu Tetra gây mất thẩm mỹ.
- Nghiện thuốc lá và sử dụng thường ngày trong thời gian rất dài
- Những nguyên nhân khác
Những trường hợp này sử dụng phương pháp tẩy trắng sẽ không đem lại hiệu quả. Do đó, bọc răng sứ là phương pháp tối ưu nhất để bạn có được hàm răng trắng đẹp.

Răng bị chết tủy
Răng bị chết tủy giống như cây bị chết rễ, răng trở khô mòn dễ gãy dần theo các vụn nhỏ và gây thối răng nghiêm trọng. Không những làm mất đi thẩm mỹ răng miệng mà còn tạo điều kiện là nơi trú ẩn, sinh sản của vi khuẩn. Vi khuẩn tăng cao gây ảnh hưởng tới các răng lân cận. Lúc này răng cần được điều trị bởi các bác sĩ và diệt khuẩn là phương pháp để hồi phục lại răng và sức nhai của răng.
Răng bị sâu quá nhiều
Răng sâu quá nhiều không chỉ gây mất mỹ răng mà còn làm hỏng men răng và chân răng. Lúc này bọc răng sứ sẽ cải thiện hàm răng của bạn, tạo nên một diện mạo mới.
Răng bị vỡ
Dù hàm răng của bạn đẹp đến mấy nhưng nếu răng bị vỡ sẽ làm mất đi cái nhìn tổng quan về cấu trúc đều của hàm răng. Hàm răng trở lên khấp khểnh thiếu thẩm mỹ. Bọc răng sứ là phương pháp cải thiện hiệu quả trường hợp này.

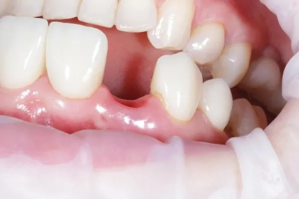
Mất răng
Tình trạng mất răng nên nên cấu trúc nền răng. Bọc răng sứ là phương pháp tốt nhất để cải thiện hàm răng, cấu trúc và sức nhai của răng của răng hiệu quả.

Răng mọc chệch hàm, nghiêng, vẹo
Chỉ cần 1 hoặc 2 chiếc răng của bạn mọc lệch hàm sẽ làm mất đi vẻ đẹp thẩm mỹ hàm răng của bạn. Bọc răng sứ sẽ giúp bạn khắc phục điều đó hiệu quả.
Răng thưa
Răng thưa không chỉ làm mất thẩm mỹ răng, dễ gặp phải tình trạng giắt thức ăn vào răng khi ăn uống. Mà theo quan niệm của người xưa, răng thưa thường mang lại một cái nhìn không tốt. Người có răng thưa thường mang vượng khí, tài khí không lành, tính cách dễ nổi nóng thay đổi thất thường. Cho nên khi gặp phải tình trạng răng bị thưa người ta thường tìm cách khắc phục tình trạng nêu trên bằng phương pháp bọc răng sứ.
Răng bị hô, chìa và vẩu
Được ví như “ cào cặp đất” răng vổ khiến người gặp phải tình trạng trở nên thiếu tự tin. Không chỉ gặp phải tình trạng có hàm răng xấu mà răng vẩu còn mất đi tính cân bằng, thẩm mỹ cấu trúc của cả khuôn mặt. Do đó, bọc răng sứ là phương pháp thẩm mỹ răng hiệu quả nhất.

Cách khắc phục khi bọc răng sứ bị hôi
Rất nhiều trường hợp khách hàng sau khi bọc răng sứ đều xảy ra tình trạng bị hôi miệng. Khả năng này có thể đến từ các nguyên nhân chủ quan và khách quan, dưới đây là một số cách khắc phục khi bọc răng sứ bị hôi:
- Đầu tiên, bạn cần phải đến phòng khám nha khoa để kiểm tra tình trạng răng sứ của bạn. Sau thăm khám thì bác sĩ sẽ tìm được nguyên nhân gây hôi miệng khi bọc sứ. Từ đó điều chỉnh chế độ chăm sóc và vệ sinh răng miệng phù hợp để khắc phục tình trạng bị hôi miệng sau khi bọc sứ.
- Đối với những trường hợp mão răng cũ không thể khắc phục và sửa chữa được nữa. Thì bác sĩ sẽ tư vấn thay mão răng mới để khắc phục tình trạng bị hôi miệng.
- Khi mão răng sứ không vừa với chân răng, tạo ra kẽ hở cho vụn thức ăn tồn đọng lại gây mùi khó chịu trong khoang miệng. Thì trong trường hợp này bạn cũng cần phải thay mão sứ mới vừa vặn hơn cũng như để khắc phục việc răng sứ bị hôi hiệu quả.
Địa chỉ nha khoa bọc răng sứ uy tín, an toàn nhất hiện nay
Nhu cầu thẩm mỹ răng miệng ngày càng nâng cao. Mọi người đều có ý thức chú trọng vẻ đẹp bên ngoài hơn cùng xu thế đất nước phát triển hội nhập và toàn cầu hóa hiện nay kéo theo nền kinh tế tăng trưởng đi lên đột biến so với các năm trước đây. Bọc răng sứ được rất nhiều người lựa chọn nhằm đem thẩm mỹ cao cho hàm hàm răng. Tất nhiên không phải tự nhiên bọc răng sứ lại được nhiều người yêu thích đến vậy. Cùng xem những ưu điểm mà phương pháp này mang lại:
- Hàm răng chắc khỏe cùng sức nhai thậm chí tốt hơn trước
- Hàm răng thẩm mỹ chuẩn tỷ lệ vàng
- Khắc phục được tình trạng khớp cắn, độ chịu lực của răng
- Tâm lý của người bệnh lên tốt hơn khi có một hàm răng đẹp
Tầm quan trọng của việc lựa chọn đơn vị nha khoa uy tín
Nắm bắt được tình tình và xu thế hiện nay, nhiều đơn vị nha khoa xuất hiện và mọc lên như nấm khó kiểm soát được chất lượng dịch vụ cũng như độ an toàn chuyên môn, kinh nghiệm của bác sĩ cùng đội ngũ nhân viên y tế và trang thiết bị máy móc. Nha khoa chất lượng uy tín ảnh hưởng rất nhiều đến hiệu quả và dịch vụ chăm sóc khách hàng, đồng thời tránh được những rủi ro đáng tiếc. Địa chỉ nha khoa cũng là một yếu tố quyết định bọc răng sứ có bị hôi miệng không?
Như vậy lựa chọn địa chỉ nha khoa uy tín hiệu quả từ lâu đã là nỗi băn khoăn trăn trở của nhiều người khi mơ ước có được một hàm răng đẹp và khỏe.

Nha khoa Oze – địa chỉ nha khoa bọc răng sứ uy tín, chất lượng
Và nếu như bạn vẫn còn băn khoăn tìm kiếm và lựa chọn địa chỉ nha khoa phù hợp thì hãy đến với “Nha Khoa Oze”. Đây địa chỉ nha khoa uy tín, chất lượng và hiệu quả giúp bảo vệ răng và nướu của bạn một cách tốt nhất. Khi đến với Nha khoa Oze, bạn hoàn toàn không phải băn khoăn về vấn đề bọc răng sứ có bị hôi miệng không? Với những quy trình dịch vụ đạt chuẩn quốc tế như:
- Tiếp nhận yêu cầu, đặt lịch hẹn khám
- Đón tiếp khách hàng tại phòng khám
- Kiểm tra tổng quát
- Chuyển sang điều trị chuyên khoa
- Hướng dẫn sau điều trị
- Đảm bảo sức khỏe răng miệng sau điều trị

Là đơn vị nha khoa lâu năm có thương hiệu và uy tín trong lĩnh vực chăm sóc răng miệng có tên tiền thân là Nha Khoa Quốc Tế 108. Luôn đứng đầu và là lựa chọn số một của khách hàng. Nha Khoa Oze ngày nay càng ngày đổi mới và tân tiến hơn nữa, chắc chắn sẽ là địa chỉ không làm bạn thất vọng và nhớ mãi về chất lượng dịch vụ và cái tâm trong ngành y bác sĩ.
Cách phòng ngừa răng sứ bị hôi
Để tránh tình trạng hôi miệng sau khi bọc răng sứ, bạn cần thực hiện những cách phòng ngừa như sau:
- Vệ sinh răng miệng sạch sẽ, thường xuyên. Cần đánh răng ngày 2 lần bằng bàn chải có lông mềm, chải răng ít nhất 2 phút. Và cứ sau mỗi 3 tháng cần thay bàn chải đánh răng một lần.
- Đến phòng khám nha định kỳ 6 tháng/lần để kiểm tra sức khỏe răng miệng, cũng như kịp thời phát hiện những nguy cơ từ răng sứ.
- Để làm sạch các vụn thức ăn còn mắc trên răng thì nên sử dụng thêm cả chỉ nha khoa và nước súc miệng sau khi đánh răng. Dùng nước súc miệng cũng giúp loại bỏ vi khuẩn hiệu quả, giúp hơi thở thơm mát, dễ chịu hơn.
- Hạn chế sử dụng những loại thức ăn quá cứng hoặc dẻo như kẹo cao su, kẹo cứng, đá lạnh,…
- Không nên sử dụng nhiều đường và các loại đồ uống có gas, dễ làm xỉn màu răng sứ.

Trên đây là những biện pháp phòng ngừa tình trạng răng sứ bị hôi một cách hiệu quả.
Bài viết trên hy vọng sẽ cung cấp những thông tin hữu ích cho những ai còn băn khoăn rằng “Bọc răng sứ có bị hôi miệng không”. Giúp bạn hiểu hơn về nhiều nguyên cụ thể gây tình trạng hôi miệng. Từ đó có biện pháp khắc phục triệt để trước và sau khi bọc răng sứ. Nhằm không mang lại những bệnh lý không đáng có về răng miệng. Chúc các bạn luôn có một sức khỏe tốt và nụ cười tỏa sáng.