Răng bé bị đen hay bị vàng là triệu chứng rất thường hay gặp ở trẻ nhỏ độ tuổi từ 1-5 tuổi. Đây là biểu hiện của trẻ đang gặp một số vấn đề về răng miệng của mình, nên các bố mẹ cần phải đặc biệt lưu tâm. Vậy răng bé bị đen có bị sao không? Răng bé bị đen thì phải làm sao? Đọc bài viết dưới đây của Oze để hiểu rõ hơn và đồng thời phòng chữa cho trẻ một cách tốt nhất.
Lưu trữ danh mục: Chăm sóc răng miệng
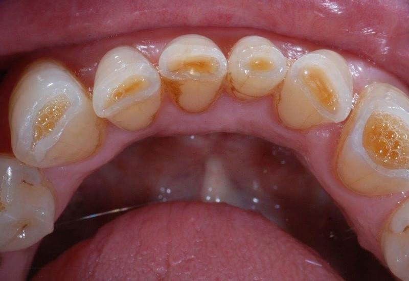
Răng bị ố vàng ở trẻ là tình trạng không hề hiếm gặp. Ngoài mất thẩm mỹ ra thì răng ố vàng gây nên ảnh hưởng đến sức khỏe, khả năng ăn uống của bé. Bởi một số lý do khác nhau sẽ khiến bé bị vàng răng nhưng đừng lo lắng, Nha khoa Oze sẽ gợi ý cho bạn một vài cách khắc phục khi trẻ bị răng vàng.
Khi em bé mọc những chiếc răng sữa đầu tiên, bình thường chúng sẽ có màu trắng ngà chứ không phải màu trắng hoàn toàn. Tuy nhiên, một số trường hợp răng bé bị xỉn màu do những nguyên nhân khác chứ không phải màu răng bình thường, điều này khiến cho nhiều phụ huynh lo lắng. Vậy nguyên nhân nào dẫn đến tình trạng răng xỉn màu ở trẻ nhỏ và cách điều trị như thế nào? Cùng tìm hiểu ngay cùng nha khoa Oze qua bài viết dưới đây nhé!
Răng bé bị mảng bám đen là tình trạng khá phổ biến ở trẻ. Nó có thể là biểu hiện của một số vấn đề về răng miệng mà bố mẹ cần đặc biệt lưu tâm. Để khắc phục tình trạng mảng bám đen trên răng bé phụ huynh không nên bỏ lỡ bài viết dưới đây.
Mảng bám đen trên răng là tình trạng khá phổ biến ở người dân Việt Nam. Tuy nhiên, ít ai biết rằng nguyên nhân gây ra rất đơn giản, thậm chí đó có thể là những thói quen hằng ngày của bạn. Nguyên nhân khiến răng có mảng bám đen rất nhiều, đa phần thường là do thói quen không tốt hoặc là do các bệnh lý về răng miệng. Cùng nha khoa Oze tìm hiểu nguyên nhân và cách khắc phục tình trạng trên trong bài viết dưới đây.
Răng bị mảng bám vàng là tình trạng khá phổ biến mà đa phần ai cũng mắc phải nhưng không phải ai cũng tìm ra cách điều trị, phòng ngừa hiệu quả để tình trạng này không tiến triển nặng hơn. Cùng nha khoa Oze tìm hiểu về nguyên nhân, cách giải quyết khi răng bị bám vàng ngay dưới đây.
Răng bị mòn là hiện tượng không hiếm gặp. Ở độ tuổi càng lớn, hiện tường này càng cao. Bị mòn răng gây ra nhiều khó khăn trong sinh hoạt, đặc biệt là ăn uống. Những thông tin từ Oze dưới đây sẽ giúp bạn tìm hiểu về nguyên nhân, triệu chứng cũng như phương pháp phòng tránh, điều trị khi bị mòn răng.
Lở miệng là một trong bệnh lý thường gặp ở mọi lứa tuổi. Mặc dù căn bệnh này không nguy hiểm đến sức khỏe nhưng ảnh hưởng lớn đến sinh hoạt của người bệnh, nhất là trong vấn đề ăn uống. Vậy, bị lở miệng thường xuyên do đâu? Cách điều trị như thế nào? Câu trả lời sẽ được chúng tôi bật mí trong bài viết dưới đây.
Nhiệt miệng là một căn bệnh khá quen thuộc với chúng ta. Thế nên nhiệt miệng có lây không, cách điều trị như thế nào cho nhanh khỏi là điều mà nhiều người băn khoăn. Hãy cùng tham khảo bài viết ngay dưới đây để tìm hiểu câu trả lời cho thắc mắc trên nhé.
Lở miệng, nhiệt miệng là tình trạng bệnh khá phổ biến hiện nay, mà bất kỳ ai cũng có từng mắc phải một lần trong đời. Vậy, lở miệng nhiều là dấu hiệu bệnh gì? Tình trạng này có nguy hiểm đến tính mạng hay không? Cùng Nha khoa Oze tìm hiểu về các giải pháp điều trị lở miệng cũng như giải đáp mọi thắc mắc của bạn trong bài viết dưới đây.








