Đối với sức khỏe răng miệng, lợi chính là bộ phận quan trọng nhất, quyết định nhiều vấn đề cả về thẩm mỹ lẫn chức năng sinh học răng miệng. Tuy nhiên, đây cũng là bộ phận dễ dàng bị tổn thương nhất, dễ bị tấn công bởi các yếu tố bên ngoài, chủ yếu là dựa vào thói quen sinh hoạt và vệ sinh răng miệng của chúng ta. Phải kể đến chứng bệnh viêm lợi đang là một mối lo khiến ai cũng hết sức quan tâm và lo lắng về. Hôm nay, hãy cùng chúng tôi tìm hiểu tất tần tật về chứng bệnh viêm lợi và cách trị viêm lợi hiệu quả.
Tổng quan về lợi và bệnh viêm lợi?
Lợi là gì?
Lợi (cách gọi khoa học là nướu) là một thành phần thuộc cơ quan răng, thuộc tổ chức quanh răng, có nhiệm vụ che chở và bảo vệ, giữ cho chân răng được đảm bảo chắc chắn. Tổ chức quanh răng bao gồm 2 thành phần chính là lợi và niêm mạc miệng biệt hóa ôm quanh răng. Tại vị trí ngách tiền đình, ta có thể nhận biết rõ đường ranh giới giữa lợi và niêm mạc hàm ếch.
Theo y khoa, lợi được chia thành lợi tự do và lợi dính, trong đó lợi tự do được chia thành 2 phần lợi nhú và đường viền lợi. Phần lợi tự do này có thể tự quan sát được rằng chúng bám vào, ôm sát chân răng và tạo với cổ răng một khe sâu gọi là rãnh lợi. Phần lợi dính cao 1,5mm là phần bám dính vào chân răng ở trên và mặt răng ở dưới.
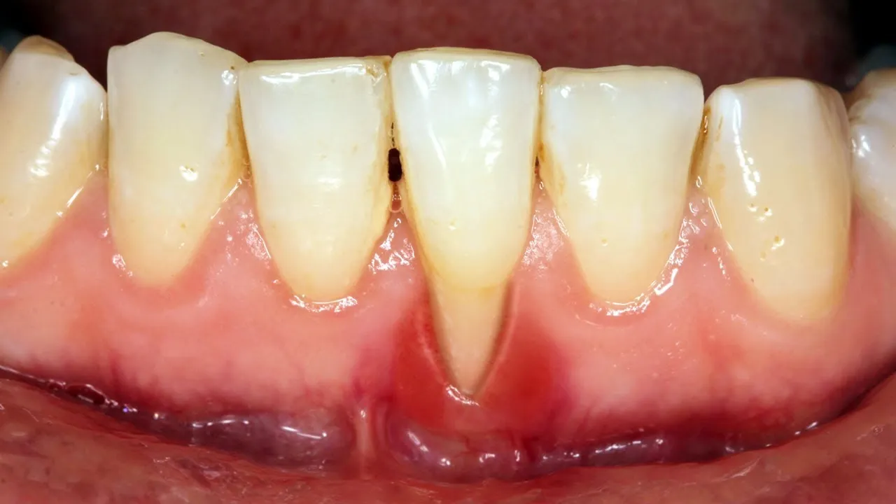
Lợi khỏe mạnh chính là khi lợi săn chắc, có màu hồng nhạt, không sưng tấy, không chảy máu, cảm nhận được hơi thở thơm tho. Khi có sự tấn công từ các vi khuẩn gây bệnh, lợi sẽ chuyển màu, trở nên mềm, dễ chảy máu hơn.
Bệnh viêm lợi là gì?
Bệnh viêm lợi xảy ra khi các mảng bám và cao răng tồn tại lâu trong miệng mà không được chữa trị. Đây chính là điều kiện lý tưởng để các vi khuẩn dễ xâm nhập, khiến lợi dễ bị tổn thương mà chúng ta không thể nhìn thấy bằng mắt thường.
Khi không được vệ sinh sạch sẽ và kịp thời, các mảng bám tích tụ trong răng sẽ cứng lại, tạo thành cao răng cứng đầu chỉ trong vòng 24h. Các dụng cụ vệ sinh răng miệng không thể làm sạch chúng được mà phải sử dụng đến các thiết bị nha khoa chuyên dụng ở phòng khám.

Khi bị viêm lợi, nướu chúng ta sẽ bị đỏ và sưng, tuy nhiên biểu hiện này lại thường không được quan tâm và dễ bị chủ quan bỏ qua. Khi bệnh chuyển qua giai đoạn nghiêm trọng hơn, sẽ xảy ra chảy máu lợi và thậm chí cả tụt chân răng, dẫn đến rụng răng.
Trên thực tế, ở trẻ em, bệnh viêm lợi là dễ xảy ra nhất, vì các bé không chủ động đánh răng, vệ sinh răng miệng, sở thích ăn uống không lành mạnh…
Viêm lợi có gây hôi miệng không?
Nghiên cứu cho thấy 90% người Việt ta đều bị hôi miệng theo nhiều cấp độ khác nhau. Trong đó, viêm lợi là chiếm một phần không hề nhỏ. Thông thường, người Việt hôi miệng là do các vi khuẩn sinh sống trong các mảng bám trên răng sẽ phân hủy, sinh mùi khó chịu. Còn đối với những người bị chứng bệnh viêm lợi, hôi miệng là do các túi mủ ở chân răng, gây cản trở vệ sinh răng miệng, rất cứng đầu.

Viêm lợi trùm là gì? Có khác với viêm lợi không?
Viêm lợi trùm cũng là một loại bệnh lý về răng miệng, thường xuất hiện trong khoảng thời gian mọc răng khôn. Tình trạng này chính là khi phần lợi bao phủ bề mặt răng khôn, ngăn cản việc mọc răng, khiến răng bị mắc kẹt bên dưới nướu, gây đau nhức, ăn uống khó khăn hay thậm chí là sốt. Nếu không được chữa trị kịp thời, viêm lợi trùm sẽ gây ảnh hưởng rất lớn đến sức khỏe.
Sau khi tiến hành chụp X quang, bác sĩ xem xét răng khôn không chèn ép các răng khác, tức là mọc thẳng hàng thì sẽ tiến hành các bước cắt lợi trùm. Phương pháp này được xem là khá nhẹ nhàng và may mắn với người bệnh. Tuy nhiên, nếu răng khôn mọc lệch thì biện pháp cuối cùng chính là nhổ bỏ chiếc răng khôn đó, phẫu thuật này nếu không phải là người có tay nghề giỏi thì khá nguy hiểm.
Nguyên nhân gây viêm lợi
Có rất nhiều nguyên nhân gây ra bệnh lý viêm lợi, tuy nhiên dưới đây là những nguyên nhân chủ yếu nhất:
- Viêm lợi do vệ sinh răng miệng không đúng cách: vệ sinh răng miệng không đúng cách sẽ không thể loại bỏ hết được các mảng bám và vi khuẩn trong khoang miệng. Giúp tạo môi trường thuận lợi cho vi khuẩn phát triển và gây tổn thương đến lợi.
- Viêm lợi do chế độ ăn uống: việc sử dụng quá nhiều thực phẩm quá cay nóng, lạnh và nhiều bánh kẹo cũng sẽ gây ra tổn thương cho lợi. Và khi lợi bị tổn thương thì vi khuẩn sẽ dễ dàng tấn công và gây ra bệnh viêm lợi.
- Viêm lợi do sử dụng thuốc: việc sử dụng các loại thuốc kháng sinh cũng có thể làm tăng nguy cơ gây viêm lợi vì có một số thuốc gây giảm chức năng của tuyến nước bọt. Tác dụng của nước bọt là giúp làm sạch các mảng bám và loại bỏ vi khuẩn. Khi tuyến nước bọt bị giảm sút thì vi khuẩn sẽ có cơ hội để tấn công và gây ra bệnh viêm lợi.
- Viêm lợi do giảm hệ miễn dịch: khi hệ miễn dịch của cơ thể bị giảm sút thì cũng sẽ khiến sức khỏe răng miệng giảm sút. Tăng nguy cơ gây ra các bệnh lý về răng miệng, đặc biệt là bệnh viêm lợi.
Các triệu chứng của bệnh viêm lợi
Lợi sưng đỏ, đau đớn
Đầu tiên, bạn sẽ ở giai đoạn viêm lợi cục bộ, tức là khi này, lợi sẽ bị sưng đỏ và gây đau đớn khi va chạm. Tuy đây là giai đoạn đầu nhưng việc ăn uống của bạn cũng đã bị ảnh hưởng, đặc biệt là khi ăn các đồ ăn cứng, phải gặm, đồ cay nóng, gây khó chịu, đau buốt, ảnh hưởng không hề nhỏ tới khẩu vị của bạn.
Chảy máu chân răng
Nếu không được phát hiện và chữa trị, bạn sẽ bước vào giai đoạn viêm cận răng, lợi bị viêm sưng đỏ thấy rõ, gây chảy máu bất chợt, đau nhức. Khi vệ sinh miệng bằng tăm xỉa hoặc bàn chải, máu sẽ ứa ra, bạn dễ dàng phát hiện máu dính trên đầu tăm và quanh chân răng. Khi phát hiện bạn có triệu chứng này, cần ngay lập tức đến các phòng khám nha khoa để được chẩn đoán và tìm ra phương pháp điều trị phù hợp.
Tụt lợi
Lâu ngày, phần lợi sẽ bị tụt xuống, dần lộ ra phần chân răng, gây phần tam giác hổng, khi ăn thức ăn dễ mắc vào, mất thiện cảm về thẩm mỹ lại khiến bệnh thêm nghiêm trọng. Phần lỗ hổng sẽ ngày càng lớn dần cho đến khi lợi và xương hàm yếu dần, chân răng không còn chỗ bám nữa sẽ gây rụng răng.

7 Cách chữa viêm lợi tại nhà đơn giản và hiệu quả
Tuy có vẻ nghiêm trọng nhưng chữa viêm lợi cũng không quá khó khăn, bạn có thể áp dụng các cách chữa viêm lợi tại nhà sau đây:
Súc miệng bằng nước muối
Một nghiên cứu năm 2016 đã chứng minh tác dụng của việc súc miệng bằng nước muối, kháng khuẩn tự nhiên, giúp răng chắc khỏe, chữa bệnh viêm lợi. Nước muối sát trùng chỗ viêm, làm giảm đau, dịu bớt, tiêu diệt vi khuẩn, giúp hơi thở thơm mát, súc nước muối còn giúp loại bỏ thức ăn thừa còn sót lại.

Cách súc nước muối chữa viêm lợi:
- Pha 2,5 – 3,5g muối vào nước ấm, khuấy đều cho tan.
- Súc miệng bằng dung dịch đã pha trong vòng khoảng 30 giây sau đó nhổ bỏ.
- Ngày súc 2 – 3 lần.
Chú ý: không ngậm quá lâu, gây mòn men răng
Súc miệng bằng dầu dừa
Các nghiên cứu năm 2015 đã nghiên cứu ra rằng, các chất axit lauric có trong dầu dừa, có tác dụng kháng khuẩn, chống viêm, đánh bay mảng bám và chữa bệnh viêm lợi. Ngoài ra, dầu dừa còn giúp làm trắng răng, hơi thở thơm mát, giảm đau đầu, căng thẳng và làm sạch xoang. Hãy chọn dầu dừa phân đoạn để súc, giúp ít cảm giác bám, dính hơn dầu dừa thông thường.
Cách thực hiện:
- Súc khoảng 20 – 30 phút với 5 – 10ml dầu dừa phân đoạn. Tránh để dầu dừa chạm vào phần cổ họng.
- Sau khi nhổ ra, súc lại bằng một lần nước.
- Uống thêm một ly nước sau đó chải lại răng.
Trên thực tế, dầu dừa không hề nguy hiểm nhưng khi súc miệng, dầu dừa có mang độc tố và vi khuẩn, không nên nuốt phần dầu dừa này.
Súc miệng bằng tinh dầu sả
Một nghiên cứu năm 2015 cho thấy, tinh dầu sả có khả năng đánh bay mảng bám, giảm nguy cơ viêm lợi tuyệt vời, vượt trội hơn cả các loại nước súc miệng có chứa chlorhexidine.
Cách thực hiện:
- Nhỏ 2 – 3 giọt tinh dầu vào 250ml nước rồi súc.
- Súc miệng bằng dung dịch trên khoảng 30 giây rồi nhổ bỏ.
- Thực hiện từ 2 – 3 lần/ngày.
Tinh dầu sả tuy không có hại nhưng tác dụng rất mạnh, nếu để dung dịch đặc, rất dễ gây kích ứng lợi khi súc.
Súc miệng bằng lô hội
Lô hội được nghiên cứu là có hiệu quả khi súc tương đương với các loại nước súc miệng chứa chlorhexidine thông thường, giúp giảm mảng bám và viêm lợi, lại rất tự nhiên, an toàn. Đặc biệt, bạn có thể sử dụng dung dịch lô hội nguyên chất mà không phải qua các bước pha loãng.
Cách thực hiện:
- Ngậm nước lô hội 30 giây rồi nhổ bỏ.
- Lặp lại 2 – 3 lần một ngày.
- Lô hội có thể không hợp với nhiều người, gây dị ứng, hãy lưu ý, đồng thời cũng nên mua lô hội ở nơi uy tín hoặc tự trồng ở nhà.
Súc miệng bằng tinh dầu tràm trà
Tinh dầu tràm trà là tên gọi Việt của tinh dầu được chiết xuất từ cây Melaleuca Alternifolia ở Úc. Các nghiên cứu cho rằng, tinh dầu này giúp giảm đáng kể việc chảy máu chân răng.
Cách thực hiện:
- Nhỏ 3 giọt tinh dầu tràm trà vào 225ml nước ấm.
- Súc bằng dung dịch này 30 giây rồi nhổ bỏ.
- Súc 2 – 3 lần một ngày
- Có thể nhỏ 1 giọt tinh dầu vào kem đánh răng khi vệ sinh răng.
Tinh dầu tràm khá mạnh, sử dụng lần đầu tiên nên pha cho thật loãng. Nếu không hợp, có thể gây dị ứng, phát ban hay nóng nhẹ.
Súc miệng bằng gel nghệ
Kết quả của một nghiên cứu năm 2015 cho biết, gel nghệ tuyệt vời trong việc ngăn chặn hình thành các mảng bám trên răng và chữa bệnh viêm lợi nhờ đặc điểm kháng viêm nổi bật. Chính vì kháng khuẩn, kháng nấm, gel lợi có thể chữa lành vết chảy máu và bệnh hở lợi.
Cách thực hiện:
- Sau khi đánh răng và súc miệng sạch sẽ
- Bôi gel nghệ và đợi 10 phút
- Sau đó súc miệng thật sạch bằng nước và nhổ bỏ
- Súc 2 lần mỗi ngày