
Nhổ răng khôn là chỉ định cần thiết trong nhiều trường hợp nhằm phòng tránh đau nhức, viêm nhiễm và biến chứng ảnh hưởng đến răng kế cận. Tuy nhiên, nhổ răng khôn giá bao nhiêu tại Hà Nội vẫn là câu hỏi khiến nhiều người băn khoăn bởi mức giá giữa các cơ sở nha khoa có sự chênh lệch đáng kể.
Trong bài viết này, Nha khoa Oze sẽ giúp bạn cập nhật chi phí nhổ răng khôn mới nhất năm 2025, phân tích rõ các yếu tố ảnh hưởng đến giá và lý do vì sao cần lựa chọn địa chỉ nhổ răng khôn uy tín, minh bạch chi phí.
Nhổ răng khôn giá bao nhiêu Hà Nội hiện nay?

Tại Hà Nội, chi phí nhổ răng khôn hiện nay thường dao động từ 1.000.000 đến 6.000.000 đồng/răng, tùy thuộc vào tình trạng mọc của răng, mức độ phức tạp và công nghệ nhổ được áp dụng.
Răng khôn mọc càng lệch, mọc ngầm hoặc sát dây thần kinh thì chi phí càng cao do yêu cầu kỹ thuật chuyên sâu và bác sĩ có tay nghề cao.
Những yếu tố ảnh hưởng đến chi phí nhổ răng khôn tại Hà Nội
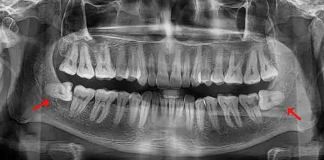
Tình trạng mọc của răng khôn

Răng khôn có thể mọc thẳng, mọc lệch, mọc ngầm hoặc mọc ngang. Răng mọc thẳng thường dễ nhổ, ít can thiệp nên chi phí thấp. Ngược lại, răng mọc lệch hoặc mọc ngầm cần tiểu phẫu, chi phí cao hơn để đảm bảo an toàn.
Mức độ phức tạp của ca nhổ
Những trường hợp răng khôn viêm nhiễm, sát dây thần kinh hoặc sát xoang hàm đòi hỏi bác sĩ phải thăm khám kỹ lưỡng, chụp phim X-quang và xử lý cẩn trọng, từ đó làm tăng chi phí điều trị.
Công nghệ nhổ răng khôn
Công nghệ Piezotome hiện đại giúp nhổ răng khôn ít xâm lấn, giảm đau, hạn chế sưng nề và giúp lành thương nhanh hơn. Đây là yếu tố quan trọng ảnh hưởng đến chi phí so với phương pháp nhổ truyền thống.

Tay nghề bác sĩ và cơ sở nha khoa
Ở nha khoa Oze, đội ngũ bác sĩ hơn 30 năm kinh nghiệm, tốt nghiệp chuyên khoa Răng Hàm Mặt, Đại học Y danh tiếng cùng hệ thống trang thiết bị hiện đại, phòng tiểu phẫu vô trùng đạt chuẩn là yếu tố quyết định chất lượng và mức chi phí nhổ răng khôn.
Chuyên xử lý các tình trạng răng
Bảng giá nhổ răng khôn tại Nha khoa Oze cập nhật 2025
[HÌNH ẢNH 5 – ngay dưới tiêu đề]
Gợi ý ảnh: Bảng giá niêm yết tại Nha khoa Oze
Alt ảnh: bảng giá nhổ răng khôn tại nha khoa Oze Hà Nội
| Tình trạng răng khôn | Chi phí tham khảo (VNĐ/răng) |
| Răng khôn mọc thẳng | 1.000.000 – 1.500.000 |
| Răng khôn mọc lệch nhẹ | 1.500.000 – 2.500.000 |
| Răng khôn mọc ngầm, mọc ngang | 2.500.000 – 4.000.000 |
| Răng khôn phức tạp, sát dây thần kinh | 4.000.000 – 6.000.000 |
Chi phí được bác sĩ tư vấn cụ thể sau khi thăm khám và chụp phim. Nha khoa Oze cam kết báo giá rõ ràng trước khi điều trị.
So sánh chi phí nhổ răng khôn mọc thẳng và mọc lệch

Răng khôn mọc thẳng có thời gian nhổ ngắn, ít xâm lấn nên chi phí thấp. Trong khi đó, răng khôn mọc lệch hoặc mọc ngầm cần tiểu phẫu, sử dụng công nghệ hiện đại và kỹ thuật cao, vì vậy chi phí cao hơn nhưng đảm bảo an toàn và tránh biến chứng về sau.
Nhổ răng khôn tại Nha khoa Oze có phát sinh chi phí không?

Nha khoa Oze cam kết:
- Thăm khám kỹ lưỡng và tư vấn phương án điều trị phù hợp
- Báo giá minh bạch trước khi nhổ
- Không phát sinh chi phí trong quá trình điều trị
- Ứng dụng công nghệ Piezotome giúp giảm đau, hạn chế sưng
- Bác sĩ trực tiếp thực hiện có chuyên môn cao, giàu kinh nghiệm
Vì sao nên nhổ răng khôn tại Nha khoa Oze ở Hà Nội?
Nha khoa Oze là địa chỉ được nhiều khách hàng tin tưởng nhờ quy trình điều trị an toàn, công nghệ hiện đại và chính sách chi phí rõ ràng. Mỗi ca nhổ răng khôn đều được cá nhân hóa theo tình trạng răng, đảm bảo hiệu quả và hạn chế tối đa rủi ro.
Đăng ký tư vấn miễn phí chi phí nhổ răng khôn tại Hà Nội
Nếu bạn đang băn khoăn nhổ răng khôn giá bao nhiêu tại Hà Nội và chưa biết lựa chọn địa chỉ nào an toàn, hãy liên hệ ngay Nha khoa Oze để được bác sĩ thăm khám, tư vấn miễn phí và báo giá chính xác theo tình trạng răng của bạn.
Nha khoa Oze – Chuyên gia răng miệng Việt Nam
