Hàn Răng Giá Rẻ Sóc Sơn: 7 Tiêu Chí Chọn Dịch Vụ An Toàn, Tiết Kiệm
Hàn răng giá rẻ Sóc Sơn là nhu cầu được nhiều khách hàng quan tâm khi gặp tình trạng răng sâu nhẹ, răng mẻ, ê buốt hoặc xuất hiện lỗ sâu nhỏ làm ảnh hưởng đến ăn nhai hằng ngày. Tuy nhiên, khi tìm kiếm dịch vụ có chi phí hợp lý, không ít người vẫn băn khoăn liệu mức giá dễ tiếp cận có đi kèm chất lượng điều trị tốt hay không, vật liệu sử dụng có an toàn không và đâu là địa chỉ đáng tin cậy để lựa chọn.
Nội dung chính
ToggleThực tế, điều quan trọng không nằm ở việc chọn nơi có giá thấp nhất, mà là chọn nơi có mức giá phù hợp với chất lượng dịch vụ, quy trình rõ ràng và chỉ định đúng tình trạng răng. Nếu được điều trị đúng thời điểm, hàn răng có thể giúp phục hồi hình thể răng, hạn chế sâu răng tiến triển nặng hơn và bảo tồn răng thật tốt hơn so với việc trì hoãn quá lâu.

Hàn răng giá rẻ Sóc Sơn là gì?
Hàn răng giá rẻ Sóc Sơn là cách nhiều khách hàng tìm kiếm dịch vụ phục hồi răng với chi phí dễ tiếp cận hơn, đặc biệt trong các trường hợp như sâu răng, răng mẻ nhỏ, răng bị khuyết mô hoặc có dấu hiệu ê buốt do tổn thương bề mặt răng. Phương pháp này sử dụng vật liệu nha khoa để bù lại phần mô răng đã mất, từ đó khôi phục hình thể răng và hỗ trợ chức năng ăn nhai.
Trong nhiều trường hợp, hàn răng là giải pháp phù hợp khi:
- Răng sâu ở giai đoạn nhẹ đến trung bình
- Răng bị mẻ nhỏ do va chạm hoặc cắn đồ cứng
- Răng có lỗ sâu gây khó chịu khi ăn nóng lạnh
- Cổ răng bị mòn gây ê buốt
- Răng cần chỉnh sửa nhẹ về hình thể hoặc thẩm mỹ
Khi được chỉ định đúng, hàn răng là một phương án vừa tiết kiệm, vừa hiệu quả trong việc bảo tồn răng thật.
Có nên chọn dịch vụ hàn răng giá rẻ Sóc Sơn không?
Đây là câu hỏi rất phổ biến. Câu trả lời là có thể, nếu “giá rẻ” được hiểu theo nghĩa chi phí hợp lý, minh bạch và phù hợp với nhu cầu điều trị, chứ không phải cắt giảm những yếu tố quan trọng như vật liệu, vô trùng hay chất lượng thao tác.
Một dịch vụ hàn răng giá rẻ Sóc Sơn vẫn có thể là lựa chọn tốt nếu đáp ứng được những tiêu chí sau:
- Bác sĩ kiểm tra kỹ tình trạng răng trước khi điều trị
- Xác định đúng răng nào có thể hàn, răng nào cần phương án khác
- Vật liệu sử dụng có nguồn gốc rõ ràng
- Quy trình điều trị an toàn, sạch sẽ
- Chi phí được tư vấn trước và minh bạch
Ngược lại, nếu chỉ lựa chọn nơi có giá thật thấp nhưng không chú ý đến kỹ thuật điều trị, chất lượng vật liệu hoặc sự chỉn chu trong quy trình, khách hàng có thể gặp tình trạng miếng hàn nhanh bong, đổi màu, cộm cấn hoặc không xử lý hết vùng tổn thương.
Vì vậy, khi tìm hàn răng giá rẻ Sóc Sơn, điều nên ưu tiên là một địa chỉ có giá hợp lý đi cùng chất lượng rõ ràng.
Hàn răng composite giá rẻ có phải là lựa chọn tốt?
Từ khóa phụ quan trọng trong bài là hàn răng composite giá rẻ, bởi composite hiện là vật liệu được sử dụng khá phổ biến trong điều trị hàn răng.
Composite được nhiều khách hàng lựa chọn vì có những ưu điểm nổi bật sau:
Màu sắc gần với răng thật
Composite có nhiều tông màu, giúp bác sĩ lựa chọn màu phù hợp hơn với răng tự nhiên. Nhờ đó, phần hàn sau điều trị thường hài hòa hơn về mặt thẩm mỹ.
Bảo tồn mô răng
Với những trường hợp tổn thương chưa quá lớn, hàn composite giúp giữ lại tối đa phần răng thật còn khỏe. Đây là một điểm rất quan trọng trong điều trị bảo tồn.
Thời gian thực hiện tương đối nhanh
Nhiều ca hàn răng có thể hoàn thành chỉ trong một buổi hẹn, đặc biệt khi răng sâu chưa lan rộng hoặc vùng tổn thương còn nhỏ.
Chi phí dễ tiếp cận
So với một số phương án phục hình khác, hàn composite thường có mức chi phí nhẹ hơn, phù hợp với khách hàng muốn điều trị sớm và chủ động tài chính.
Tuy nhiên, để hàn răng composite giá rẻ mang lại kết quả tốt, bác sĩ cần đánh giá đúng chỉ định và thực hiện đúng kỹ thuật. Không phải mọi trường hợp đều chỉ cần hàn răng là có thể xử lý triệt để.

Vì sao nhiều khách hàng chọn nha khoa giá tốt Sóc Sơn thay vì nơi rẻ nhất?
Từ khóa phụ nha khoa giá tốt Sóc Sơn phản ánh rất đúng tâm lý của người đi điều trị hiện nay. Phần lớn khách hàng không chỉ muốn tiết kiệm chi phí, mà còn mong muốn kết quả ổn định, an toàn và tránh phải điều trị lại nhiều lần.
Một nha khoa giá tốt thường không cạnh tranh bằng mức giá thấp nhất, mà bằng sự cân bằng giữa chi phí và chất lượng.
Tư vấn đúng tình trạng
Răng sâu nhẹ có thể hàn, nhưng răng tổn thương lớn có thể cần một hướng xử lý khác. Tư vấn đúng từ đầu sẽ giúp khách hàng tiết kiệm thời gian và chi phí về sau.
Vật liệu rõ ràng
Độ bền và thẩm mỹ của miếng hàn phụ thuộc rất nhiều vào vật liệu. Một địa chỉ đáng tin cậy cần minh bạch trong phần này để khách hàng an tâm hơn khi điều trị.
Quy trình điều trị chỉn chu
Bác sĩ nhẹ nhàng, thao tác cẩn thận, phòng điều trị sạch sẽ và hướng dẫn chăm sóc rõ ràng luôn là những yếu tố giúp khách hàng đánh giá cao trải nghiệm dịch vụ.
Chính vì vậy, khi tìm hàn răng giá rẻ Sóc Sơn, nhiều người thực tế đang tìm một nha khoa giá tốt Sóc Sơn hơn là chỉ đơn thuần tìm nơi có giá thấp nhất.
Oze cam kết chất lượng với giá hợp lý như thế nào?
Với dịch vụ hàn răng giá rẻ Sóc Sơn, Oze định hướng mang đến giải pháp có chi phí phù hợp nhưng vẫn đảm bảo những tiêu chí quan trọng trong điều trị nha khoa.
Tại Oze, khách hàng được:
- Kiểm tra kỹ tình trạng răng trước khi điều trị
- Tư vấn rõ trường hợp nào phù hợp để hàn
- Giải thích về vật liệu sử dụng, độ bền tương đối và cách chăm sóc sau điều trị
- Điều trị trong môi trường sạch sẽ, chỉn chu
- Được báo chi phí rõ ràng trước khi thực hiện
Sự minh bạch này giúp khách hàng yên tâm hơn khi lựa chọn, đặc biệt với những người đang tìm một phương án vừa tiết kiệm, vừa đảm bảo chất lượng điều trị.
Công nghệ và vật liệu hàn răng tại Oze có gì đáng chú ý?
Để một ca hàn răng giá rẻ Sóc Sơn mang lại kết quả tốt, vật liệu và kỹ thuật điều trị đều đóng vai trò rất quan trọng.
Vật liệu đạt chuẩn
Vật liệu hàn cần có độ bám dính phù hợp, màu sắc tương thích với răng thật và đáp ứng yêu cầu sử dụng trong nha khoa. Đây là yếu tố ảnh hưởng trực tiếp đến độ bền, độ kín và tính thẩm mỹ của miếng hàn.
Kỹ thuật tạo hình tỉ mỉ
Một miếng hàn đẹp không chỉ nằm ở vật liệu mà còn phụ thuộc vào cách bác sĩ xử lý phần sâu răng, tạo hình bề mặt và hoàn thiện khớp cắn sao cho tự nhiên, không cộm và không gây khó chịu khi ăn nhai.
Quy trình điều trị rõ ràng
Từ thăm khám, làm sạch vùng tổn thương, xử lý phần sâu răng đến tạo hình và hướng dẫn chăm sóc sau điều trị đều cần được thực hiện cẩn thận. Quy trình rõ ràng giúp khách hàng hiểu mình đang được điều trị như thế nào và vì sao cần điều trị.
Trước khi quyết định điều trị, khách hàng nên [khám răng tổng quát tại Oze Sóc Sơn] để được kiểm tra đúng tình trạng răng và tư vấn phương án phù hợp.
Feedback khách hàng đã điều trị có quan trọng không?
Phản hồi thực tế từ khách hàng từng điều trị là một yếu tố rất quan trọng khi tìm hiểu dịch vụ hàn răng giá rẻ Sóc Sơn. Những đánh giá này giúp người đọc hình dung rõ hơn về trải nghiệm thực tế thay vì chỉ dựa vào lời giới thiệu.
Feedback có thể cho thấy:
- Miếng hàn sau điều trị có tự nhiên không
- Khách hàng có ăn nhai ổn định không
- Quá trình thực hiện có nhẹ nhàng không
- Bác sĩ tư vấn có rõ ràng không
- Không gian điều trị có tạo cảm giác yên tâm không
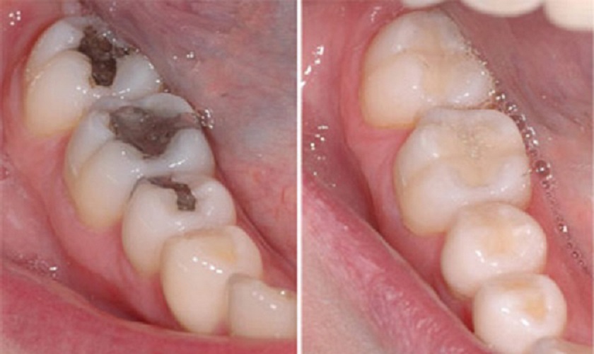
Nếu bài viết đi kèm hình ảnh trước và sau điều trị hoặc cảm nhận thực tế từ khách hàng, mức độ tin cậy sẽ tăng lên đáng kể.

Khi nào nên đi hàn răng sớm?
Nhiều khách hàng trì hoãn vì nghĩ sâu nhẹ hoặc mẻ nhỏ chưa quá đáng lo. Tuy nhiên, điều trị sớm luôn giúp kiểm soát tình trạng tốt hơn và tiết kiệm hơn.
Bạn nên đi kiểm tra sớm khi:
- Răng xuất hiện chấm đen hoặc lỗ sâu nhỏ
- Ăn đồ lạnh, nóng hoặc ngọt thấy ê buốt
- Răng bị mẻ sau va chạm hoặc cắn đồ cứng
- Kẽ răng dễ mắc thức ăn bất thường
- Muốn phục hồi thẩm mỹ cho răng ở mức nhẹ
Nếu được xử lý đúng lúc, một ca hàn răng giá rẻ Sóc Sơn có thể giúp giải quyết vấn đề khá nhanh, đồng thời hạn chế nguy cơ tổn thương tiến triển nặng hơn.
Kết luận
Hàn răng giá rẻ Sóc Sơn là lựa chọn phù hợp với nhiều khách hàng đang gặp tình trạng răng sâu nhẹ, răng mẻ hoặc ê buốt do khuyết mô răng. Điều quan trọng không phải là tìm nơi rẻ nhất, mà là tìm một địa chỉ có chi phí hợp lý, vật liệu đạt chuẩn, tư vấn đúng tình trạng và quy trình điều trị rõ ràng.
Nếu bạn đang quan tâm đến hàn răng composite giá rẻ hoặc muốn tìm một nha khoa giá tốt Sóc Sơn, việc thăm khám sớm sẽ giúp xác định đúng tình trạng răng và lựa chọn phương án phù hợp hơn. Điều trị đúng thời điểm không chỉ giúp bảo tồn răng thật tốt hơn mà còn giúp bạn an tâm hơn trong quá trình ăn nhai và chăm sóc răng miệng lâu dài.